LA PATOLOGIA DELL’ ARTICOLAZIONE TEMPORO-MANDIBOLARE
Vedi la lezione completa sulla patologia dell’articolazione temporo mandibolare:
Oppure scarica la lezione sulla patologia e terapia dell’articolazione temporo mandibolare.
RESEARCH DIAGNOSTIC CRITERIA FOR TEMPOROMANDIBULAR DISORDERS (RDC/TMD)
STANDARDIZED CRITERIA for RESEARCH PURPOSE Axis I
-DISORDINI MUSCOLARI
-DISLOCAZIONI DISCALI
-ARTRALGIA, ARTRITE, ARTROSI
TEMPOROMANDIBULAR DISORDERS  I TRE SEGNI/SINTOMI CARDINALI
-Rumori articolari
-Limitazione funzionale
-Dolore
DIAGNOSI
-STRUMENTALE
-CLINICA
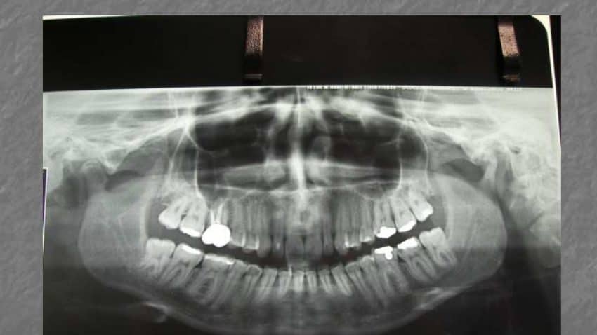
ORTOPANTOMOGRAFIA
– Asimmetrie del corpo o delle branche montanti mandibolari.
– Grossolani quadri degenerativi.
– Stato dentale.
– Lesioni interessanti il n.alveolare inferiore
VALUTAZIONE CLINICA
-E.O. di massima del volto
-Valutazione occlusale
-Presenza di rumori articolari
-Presenza di tensione muscolare
-Valutazione funzionalità mandibolare
-N.B. ANAMNESI
ESAME OBIETTIVO
– VALUTAZIONE DEL PAZIENTE DI FRONTE E DI PROFILO
– PALPAZIONE MASSETERE
– PALPAZIONE PTERIGOIDEO ESTERNO 
– PRESSIONE ENDOAURICOLARE A BOCCA CHIUSA E APERTA
– AUSCULTAZIONE A BOCCA CHIUSA E APERTA
– MISURAZIONE FUNZIONALITA’ MANDIBOLARE APERTURA- MASSIMA APERTURA- APERTURA FORZATA
– MISURAZIONE FUNZIONALITA’ MANDIBOLARE LATERALITA’ -PROTRUSIVA
IL TRATTAMENTO DEI TMD PER ANNI AFFIDATO – SOLO – AI DENTISTI
– BITE Piani , di Riposizionamento; Arcata Totale o Parziale; Superiori, Inferiori ; Morbidi , Duri..
– ORTODONZIA
– PROTESI Fissa, Mobile; Provvisoria, Definitiva…..
Necessità di una svolta culturale non per escludere ma per integrare le terapie a disposizione, di qui la…
Necessità di attingere all’esperienza di altre branche specialistiche
Il Trattamento “Invasivo” dei Disordini Cranio-Mandibolari
– Artrocentesi
– Artroscopia
– Tossina Botulinica
– Chirurgia
ARTROCENTESI
“Puntura dell’Articolazione” da noi utilizzato per indicare lavaggi e distensioni idrauliche dell’articolazione.
Si sono usati:
Soluzione Fisiologica
Anestetici
Cortisonici
Acido Ialuronico
AZIONE ARTROCENTESI
-Distensione Articolare
-Abbassamento Condilare
-Rottura Aderenze
-Mobilizzazione Discale
-Rimozione Cataboliti
INDICAZIONI ARTROCENTESI
-ALGIE
-LOCK ARTICOLARE
-ARTROSI
-ARTRITE
TECNICHE
Infiltrazione intra-articolare semplice
-Soluzione Fisiologica
-Anestetico
-Cortisonico
Infiltrazione con Lavaggio
-Soluzione Fisiologica
-Acido Ialuronico








