L’ulcera mucocutanea EBV-correlata (EBVMCU) può presentarsi in sedi cutanee e mucose, mostrando una proliferazione di cellule B di grandi dimensioni, comprese le cellule Hodgkin e Reed-Sternberg-like.
CASO CLINICO
Nel febbraio 2021, un uomo di 81 anni è stato valutato per un’ulcera del palato duro.
Il paziente era affetto da artrite reumatoide (AR) sotto Methotrexate, peggiorata durante la COVID-19, contratta nel novembre 2020.
nel novembre 2020. Si è recato dal dentista lamentando la di una lesione asintomatica del palato, qualche giorno prima della risoluzione della COVID-19. Non aveva dolore, ma un sanguinamento gengivale riferito.
Era presente una lesione ulcerata e ipervascolarizzata con margini esofitici e nucleo sanguinante.
Leggero spostamento dei premolari vitali e l’essudato purulento sono stati evidenziati dopo il sondaggio.
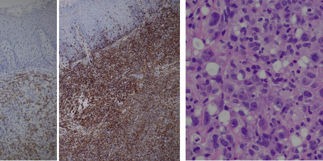
Poiché si sospettava un carcinoma orale, è stata eseguita una biopsia incisionale.
Di conseguenza, è stata ipotizzata la diagnosi di EBVMCU.
La risonanza magnetica ha mostrato un’esaltazione nel palato, con margini sfumati e bordi non omogenei.
La tomografia computerizzata total body ha rivelato un aumento del polmonare e dei linfonodi ilo-mediastinici; gli esami del sangue hanno confermato l’immunosoppressione, ma hanno negato la presenza di infezioni.
La valutazione pneumologica ha rivelato una bassa saturazione di pneumologico ha rivelato una bassa saturazione di ossigeno e un’ostruzione moderata (coerente con l’enfisema noto).
La consultazione ematologica ha infine smascherato un linfoma Non-Hodgkin follicolare.

RISULTATI
Dopo un approccio multidisciplinare, abbiamo concluso che COVID-19 ha peggiorato l’immunosoppressione e ha smascherato il linfoma. Non è stato necessario un intervento chirurgico orale, poiché il trattamento dell’immunosoppressione e della malattia sistemica di solito porta alla guarigione dell’EBVMCU. Infatti Infatti, abbiamo seguito il paziente con cadenza bisettimanale e abbiamo riscontrato la completa regressione della lesione nel giugno 2021. Successivamente, il paziente è stato sottoposto a un trattamento oncologico tuttora in corso.
L’EBVMCU è una malattia rara e recentemente riconosciuta, la cui diagnosi può essere impegnativa. Un’anamnesi adeguata e la collaborazione tra gli specialisti sono fondamentali per la diagnosi e la terapia.







